HOME PAGE CHI SIAMO DOVE SIAMO LINK CONTATTACI  

 

Defecografia

Cenni di Anatomia

Cenni di Fisiologia

Stipsi

Incontinenza Anale

Quadri Defecografici

Casistica

 

Defecogr. Normale

Procidenza

Prolasso Interno

Prol. Intracanalicolare

Prolasso Esterno

Ipertono Fionda P-B

Rettocele

Perineo Discendente

Enterocele

 

Galleria Fotografica

Galleria Video

 
 
 
 
 
 

 

 
 
 
 
 
 
 
 
 
 
 
 

 

 
   1      
       
 

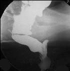
Voluminoso prolasso esterno.

Enterocele

       
   1      
   
 

Voluminoso prolasso esterno.

Enterocele funzionale

       
    1  2    
   
 

R.F., 71 anni

Da tre mesi, incontinenza e prolasso esterno.


Prolasso esterno. Impronta della fionda pubo-rettale

       
   1  2    
 
 

Lo sforzo cronico, ha modificato la morfologia dell'ampolla rettale.

Sfintere anale beante in ortostasi.

       
   1  2  3  
 
       
 

Alterata la morfologia dell'ampolla rettale.

La parete anteriore supera il margine anteriore del canale anale.

Il prolasso esterno è condizione per il vuotamento.

       
   1  2  3  
     
 

Piccolo prolasso esterno.

Il canale anale ha diametro superiore alla norma.

       
   1  2    
     
 

Piccolo prolasso esterno.

Rettocele anteriore con estensione superiore a 2 centimetri.

       
   1  2  3  4
     
  Piccolo prolasso esterno in prolasso intracanalicolare che condiziona ristagno di barite a monte.
     

 

 

info@defecografia.it

Webmaster

Copyright ©2005 CamSoft